
Conditions
&
Surgery

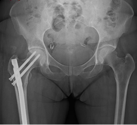
Trauma
Trauma is the largest cause of bad outcomes in young Australians, so it is critical that it is treated by well trained professionals. The John Hunter Hospital is the highest volume centre for multiply injured patients in New South Wales.
Dr Tarrant has experience training in complex trauma of the skeleton in both the immediate and delayed setting.

Hip & Knee Arthritis
Lower limb arthritis is a debilitating condition. The hip replacement was named the operation of the 20th century due to its ability to restore function and relieve pain and the knee replacement has had steadily increasing implantation rates in the Australian population over the last 20 years. Both procedures have an excellent track record of restoring function and relieving pain when non-operative treatment has failed.

Dr Tarrant has overseas fellowship training in both modern trauma and arthroplasty techniques.
For more information, contact Newcastle Orthopaedic Group.
